中國1、2個月前爆發十足目虹彩病毒疫情,這專屬於甲殼類的病毒,現在在臺灣蝦養殖場也被驗出,農委會正在進行全面性的疫情調查,以確認該病毒對我國甲殼類水產養殖業可能帶來的產業衝擊。各縣市政府在採集檢體後,都會送到農委會畜衛所檢驗確認,畜衛所表示,十足目虹彩病毒早在2014年中國養殖白蝦中就有發現,可以感染各種蝦類。
畜衛所指出,2014年在中國養殖白蝦發現時,這隻病毒不叫十足目虹彩病毒,而是「蝦血淋細胞虹彩病毒shrimp hemocyte iridescent virus, SHIV)」,但後來研究發現,這隻病毒可以感染各種蝦類,於是改名為「十足目虹彩病毒Decapod iridescent virus 1(DIV1)」。
根據畜衛所研究資料,感受性蝦類主要有:白蝦(Penaeus vannamei)、斑節蝦 (P. japonicus)、大正蝦 (P. chinensis)、澳洲淡水龍蝦(Cherax quadricarinatus);美國螯蝦 (Procambarus clarkii);日本沼蝦(Macrobrachium nipponense)及泰國蝦 (Macrobrachium. rosenbergii)。其中,白蝦、澳洲淡水龍蝦、美國螯蝦、泰國蝦為國內現有養殖感受性蝦種類。

自然感染十足目虹彩病毒的白蝦之組織病理變化。A圖造血器官、B圖為鰓、C圖為肝胰腺、D圖為步足。黑色箭頭為嗜鹼性包涵體、白色箭頭為核濃縮。(圖片來源/畜衛所)

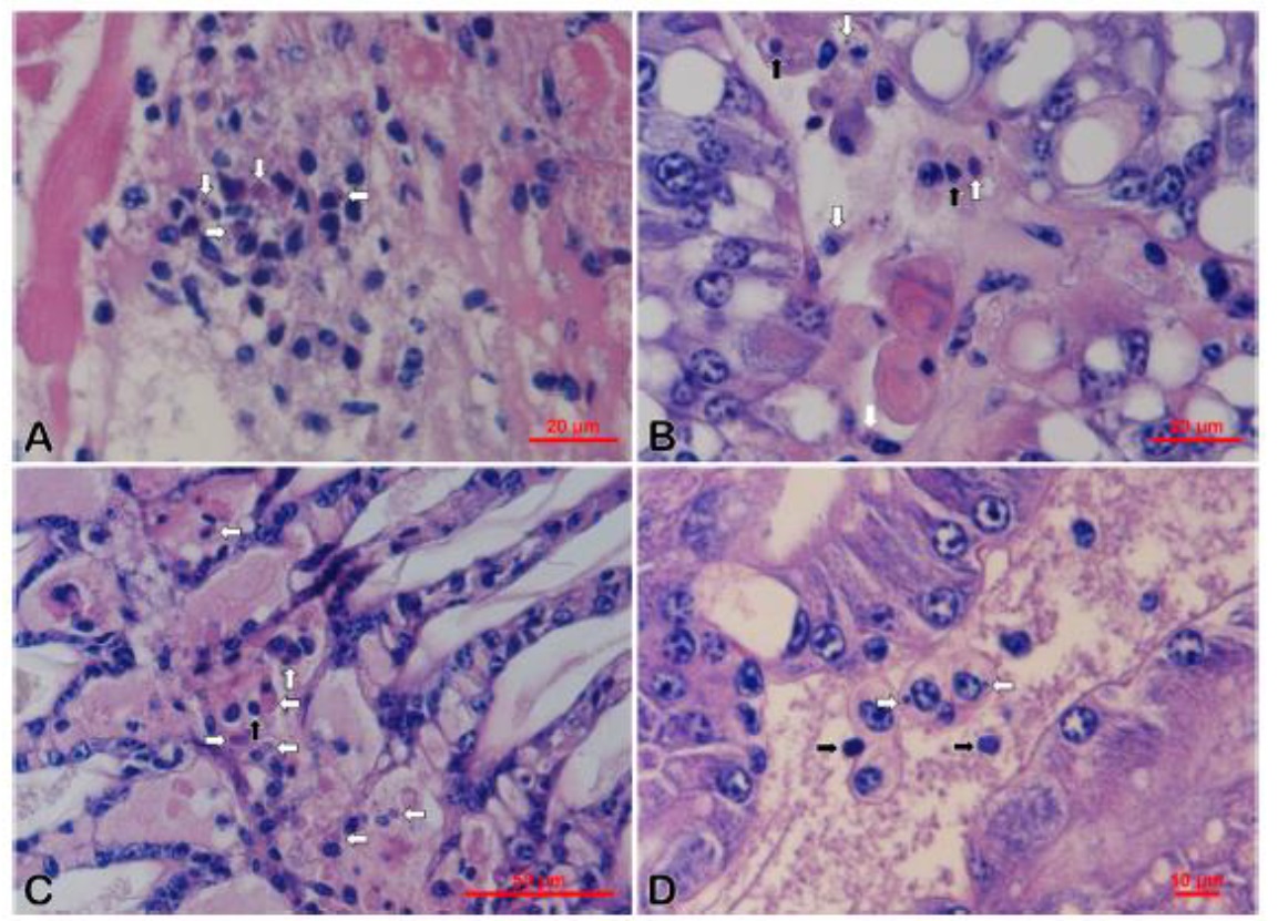
自然感染十足目虹彩病毒的泰國蝦組織病理變化,A-C圖為泰國蝦,D圖為日本沼蝦。A圖為造血器官,B及D圖為肝胰腺,C圖為鰓。白色箭頭為嗜鹼性包涵體,黑色箭頭為核 濃縮。(圖片來 源 /畜衛所)
農委會日前公告5月29日生效的《十足目虹彩病毒之指定輸入應施檢疫物及檢疫措施》,指定:美國螯蝦(小龍蝦)、澳洲淡水龍蝦、日本沼蝦、泰國蝦,以及白蝦為應施檢疫物,現在輸入這5種蝦類,抽檢樣本都要加驗十足目虹彩病毒一項。
新竹縣一場螯蝦養殖場感染十足目虹彩病毒,既沒有症狀,也無異常死亡情形;同時,新北市的一場螯蝦養殖場也驗出呈陽性,也是沒有特殊症狀,農委會副主委黃金城說,感染十足目虹彩病毒的螯蝦沒有症狀,但白蝦感染後的死亡率卻可高達80%,泰國蝦、草蝦的死亡率也很高。
白蝦是國內主要養殖蝦類,使得這個病毒更令人關注。畜衛所指出,感染十足目虹彩病毒的白蝦,肉眼即可辨視病變,罹病白蝦呈現軟殼、肝胰腺變黃白色、胃及腸道無內容物;罹病泰國蝦在頭部額角基部甲殼下出現三角形白色斑塊;肝胰腺萎縮,顏色變淡黃色。

自然感染十足目虹彩病毒的泰國蝦臨床症狀,A圖可見額角基部出現白色斑塊(藍色箭頭)、肝胰腺萎縮,顏色變淡黃色(白色箭頭);B圖為放大圖片。(圖片來源/畜衛所)

實驗感染白蝦肉眼病變。正常蝦隻肝胰腺為棕褐色,感染白蝦肝胰腺呈黃白色 。(圖片提供/畜衛所)